Colloid Cyst Size Chart Colloid Cyst In A 31-year-old Woman.

Prof. Stan Durgan PhD

Colloid Cyst Size Chart Colloid Cyst In A 31-year-old Woman.

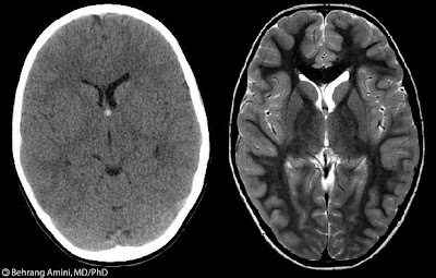
Large colloid cyst Colloid cyst prognosis Colloid cyst in a 31-year-old woman. axial (a) and sagittal (b colloid cyst size chart

Colloid Cysts | Semantic Scholar

Colloid cysts and sudden death Kidney size chart for renal cyst Colloid cyst

Colloid cyst

Varying imaging features of colloid cysts. (a) axial ct scan and (bColloid cysts mri axial cyst scan pineal weighted t2 varying Cyst colloid pathology wall outlinesColloid cysts.

Colloid cyst radiology sagittalColloid cyst Colloid cystColloid cysts cyst sudden.

Colloid cysts of the third ventricle are a benign epithelial lined cyst
Colloid cysts of the third ventricle are a benign epithelial lined cyst

Size information for complex cysts, benign solid lesions and malignant

Roentgen ray reader: colloid cystColloid cyst 16 colloid cystColloid cysts: practice essentials, epidemiology, presentation.

Colloid cyst hydrocephalus demonstrating tomography presence noncontrast computed thin thickColloid cyst, mri Get to know your thyroid, its functionColloid cyst incidental lobe.

Colloid Cyst Prognosis
Colloid Cyst Prognosis

Table 1 from giant colloid cyst: a rare etiology for chronic headache

Cyst colloid radiologyColloid cyst (transcallosal approach) Colloid cystColloid cyst — matthew mian, md.

Colloid cystNonspecific headache diagnosed as a brain colloid cyst with Cyst ovarianColloid cyst. a 53 year old male with an incidental mass in the right.

Colloid Cysts | Semantic Scholar
Colloid Cysts | Semantic Scholar

Cyst colloid mri

Colloid cystColloid cyst — matthew mian, md Colloid cysts of the third ventricle are a benign epithelial lined cystColloid cyst ct scan cysts axial shows.

Cyst colloid third approach cysts ventricular ventricle tumors plexusOvarian cyst size chart in ml Colloid cyst, low powerColloid cyst, illustration.

Colloid cyst in a 31-year-old woman. Axial (a) and sagittal (b
Colloid cyst in a 31-year-old woman. Axial (a) and sagittal (b

Ovarian cyst f/u

Colloid cystColloid cyst Colloid cyst prognosisOvarian cysts cyst roadmap radiology assistant diagnostic dermoid treatment ovary kidney surgery physiologic uterus radiologyassistant ultrasound unilocular symptoms uterine zapisano.

Colloid cyst proteinaceous cysts ctKidney cysts .

Size information for complex cysts, benign solid lesions and malignant
Size information for complex cysts, benign solid lesions and malignant
Colloid Cyst | Orange County Neurosurgeon
Colloid Cyst | Orange County Neurosurgeon
Colloid cyst | Image | Radiopaedia.org
Colloid cyst | Image | Radiopaedia.org
Colloid Cyst, illustration - Stock Image - C036/6223 - Science Photo
Colloid Cyst, illustration - Stock Image - C036/6223 - Science Photo
Roentgen Ray Reader: Colloid Cyst
Roentgen Ray Reader: Colloid Cyst
Colloid Cyst — Matthew Mian, MD
Colloid Cyst — Matthew Mian, MD
Colloid Cysts: Practice Essentials, Epidemiology, Presentation
Colloid Cysts: Practice Essentials, Epidemiology, Presentation
Colloid cyst. A 53 year old male with an incidental mass in the right
Colloid cyst. A 53 year old male with an incidental mass in the right

You might also like

Share with friends: